Orthodontic treatment In Pune

Orthodontic treatment helps straighten teeth and correct bite issues. It’s often done using braces or clear aligners. The goal is to improve how your teeth look, feel, and function. Treatment works slowly over time, but the results last. Crooked teeth, gaps, or jaw problems can all be treated this way. The earlier it's started, the better—but it’s never too late.

Orthodontics at Smilex

At Smilex, we treat children, teens, and adults. We start with a full scan and dental check-up before suggesting any treatment. If you're a good fit, we’ll guide you on what kind of braces or aligners may work best.

We explain everything clearly and keep the process stress-free. You’ll get steady care and regular follow-ups to track progressOur team includes some of the best orthodontists in Pune.

And since we’re part of one of the best dental clinics in Pune, you’ll always be in good hands. Whether it’s simple spacing or a complex bite issue, we take it case by case.

Orthodontist in Pune
⭐ Read Reviews
Book an Appointment
Instructions

Orthodontist Braces Specialist

Orthodontic Braces correct the crowding of teeth and straightens them. This not only enhances your smile but also gives you confidence that further adds to your overall personality.

Orthodontics or the specialty of an orthodontist is a branch which is more than 100 years old. With the scientific base and study, Orthodontists can straighten an irregular set of teeth with braces, and also correct protruded teeth.

Smilex Dental Implant & Aligner Centers is the best dental clinic in Pune, offers treatment by some of the best orthodontist in Pune & is equipped with state of art Braces including Steel, Ceramic, Lingual, Removable, Invisible Braces, etc. We have treated thousands of patients in the last 2 decades of clinical practice with different types of Braces.

For growing children with jaw problems either removable or a combination of removable and fixed steel Braces are used. For adolescent patients’ steel, ceramic or lingual braces are used according to the need and requirement of the case. At Smilex, the braces chosen for you offer high-precision & great comfort using the most advanced technology and skills of some of the best orthodontist in Pune.

The treatment outcome is highly predictable with a high number of adult patients seeking orthodontic treatment. Ceramic braces and lingual braces are some of the choices of treatment. If the general condition of a patient is good, the orthodontic treatment can be done at any age, with less visible or invisible braces.

Braces For Adolescent Children / Young Adult

The majority of patients are seen in this category when malocclusion (crooked, protruded teeth) is observed. This is when children are still growing and a jaw correction treatment can be carried out in this age group.

Most of this age group (12 to 18 yrs) requires jaw correction plus braces treatment. Depending upon the requirement (malocclusion); extraction, known extraction, expansion are required. This is the most important age group for orthodontic treatment as self-esteem and psychological well being is of utmost importance for the transition to adulthood. Correcting their smile boosts self-esteem and makes them confident adults. Dr. Sonali Deshmukh is the best orthodontist in Pune and is very popular among this age group as she believes in the overall holistic approach to the dental problem.

Orthodontist-Recommended Instructions for Braces

Dietary Restrictions While Undergoing The Treatment

Instructions
  • Avoid sticky food- Chikkis, Chiclets, Chewing Gums, Sticky Chocolates, etc.
  • Avoid hard food- Chakli, Toasts, Nuts (almonds, groundnuts, walnuts), Non– veg without bones.
  • Do not bite directly from front teeth, especially on ice, apple, guava, sugarcane, sweet corn, etc.
  • Cut all the fruits into small pieces and eat from your back teeth. This will avoid any breakages and further discomfort.
  • While eating pizza use a fork and knife to cut into small pieces and use your back teeth to chew.

Brushing and
Gum Massage

Instructions
  • Make sure you brush your teeth once in the morning and once before going to bed.
  • Gargling with the mouthwash should follow brushing to keep your mouth clean and free of cavities.
  • Proper use of orthodontic toothbrush should be done as advocated by your orthodontist.
  • Always gargle or brush your teeth (you can also do this without toothpaste) after you eat or snack in between your meals.
  • Massage your gums twice daily. Massaging your gums will strengthen your teeth as well as your gums. Remember ‘HEALTHY GUMS, HEALTHY TEETH’. Any sign of bleeding or swelling of the gums is of concern.

Case

Orthodontic Case – I

(Case Done by Dr. Sonali Deshmukh M.D.S. / Orthodontist )

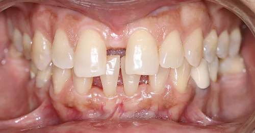
Anterior Crossbite Correction
Without Extraction Of Teeth

A young newly married female had crossbite in front teeth and when she smiled she felt her teeth appeared crooked. Being newly married she also had concerns regarding wearing braces. Assessing the situation, we advised ceramic braces and treated the condition without extracting or removing any teeth.

Pre Treatment

The treatment was completed successfully after a period of 18 months. Our patient is now embarked on her newly married life with more confidence.

Pre Treatment

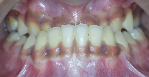
Orthodontic Case – II

(Case Done by Dr. Sonali Deshmukh M.D.S. / Orthodontist )

Correction Of Protruded
Small Lower Jaw

A child with protruded teeth and a small lower jaw at a young age can be treated by Myofunctional appliances which help in the growth of the jaw.

Pre Treatment

After Myofunctional appliances therapy for jaw growth accompanied by braces treatment for correction of protruded teeth.

Pre Treatment

Orthodontic Case – III

(Case Done by Dr. Sonali Deshmukh M.D.S. / Orthodontist )

Deep – II Correction

Pre Treatment
Pre Treatment

Orthodontic Case – IV

(Case Done by Dr. Sonali Deshmukh M.D.S. / Orthodontist )

Correction of Open Bite

Pre Treatment
Pre Treatment

Orthodontic Case – V

(Case Done by Dr. Sonali Deshmukh M.D.S. / Orthodontist )

Case Treated With Aligner

Pre Treatment
Post Treatment

Orthodontic Case – VI

(Case Done by Dr. Sonali Deshmukh M.D.S. / Orthodontist )

Case treated by Orthognathic surgery

Pre Treatment
Post Treatment
Braces

Fixed Braces

These are the braces, which are stuck onto the teeth with the help of chemicals. Broadly speaking, they are made up of steel or tooth-coloured ceramic. With the help of wire elastics, e-chains the teeth are pushed back. You might experience some discomfort and pain after the braces are placed. But with painkillers and time, patients get used to it. Fixed braces are used in cases where irregularity of teeth or malocclusion is more. Proper care should be taken in terms of brushing & cleaning of teeth regularly.

Different types of braces

steel braces

The most common and recognizable braces are the stainless steel braces. These braces are very durable and different color ties may be used with them for decorative purposes to enhance the orthodontic experience.

Ceramic braces

Ceramic braces are made of clear/tooth-colored materials and are therefore less visible on your teeth than metal braces. For this reason, ceramic braces are used mainly on older teens and adult patients who have cosmetic concerns and would like the orthodontic experience to be less conspicuous.

These braces are placed on the back of your teeth. They are comfortable and easy to wear, and are completely hidden throughout the entire treatment process. Thus, this treatment is truly Invisible Orthodontics. These braces are not for everyone. Dr.Sonali Deshmukh will tell you if you are a good candidate for this treatment modality.

Lingual Lingual Lingual
Invisalign

All of these systems, including Invisalign, use a series of clear, removable, and comfortable aligners to gradually straighten your teeth. Not only are the aligners invisible, they are removable, so you can eat and drink what you want while in treatment, plus brushing and flossing are less of a hassle. The Clear Aligner systems are not for everyone, Dr.Sonali Deshmukh will tell you if you are a good candidate for this treatment modality.

Orthodontic

These are the mini Retention used with orthodontic braces for moving teeth. They are used when malocclusion is severe or there is severe crowding of teeth. This helps in accurate and faster orthodontic treatment with precision.

Removable Appliances

These are the appliances which are made of acrylic (tooth-coloured or pink) and can be worn and removed by the patients. These are usually used for minor teeth and jaw corrections. They are very aesthetic and they require to be worn for 24 hours by the patient. These are usually called plates and need activation or supervision by an orthodontist every 1 month or 15 days. At Smilex, a team of best orthodontists in Pune provides you with complete supervision and guidance with regards to your appliances.

Different Types of Removable Appliances

steel braces

If patient has minor spacing or crowding or mild proclination then removable plates can be given to correct such condition. But it does have its limitations while finishing the case.

Ceramic braces

Different habits seen in the children includes thumb sucking, finger biting, nail biting, lip biting, mouth breathing, tongue thrusting etc.,These are appliances that are made to combat the above habits in children.

These are the upper and lower plates given together or separately to correct the small or large jaws. These are mostly used in conditions when jaws are protruded or retruded in growing patients.

Lingual
Invisalign

Expansion appliances increase the width of the jaws to broaden the smile and to prevent the extraction of permanent teeth. These appliances work best before all of the permanent teeth erupt.

Orthodontic

At the end of active Orthodontic Retention, once your teeth are aligned, we go into the retention phase. This aims to retain/maintain your teeth in their new positions. Retention Appliances maintain the esthetics and function you have so carefully achieved through orthodontic therapy.

Braces

Real Patient Testimonials

Hear directly from our patients about their smile transformation experiences.

Latest from Our Dental Blog

When Do You Need Orthodontic Treatment? Signs to Watch For

Understand the common signs that indicate you may need orthodontic treatment and how early intervention can improve your smile and overall oral health.

Read More

Foods to Avoid with Braces

Learn which foods to avoid while wearing braces to protect your orthodontic appliances and ensure smooth and effective treatment results.

Read More

Types of Orthodontist in Pune

Metal Braces
Metal Braces

These are the most common types. They're strong and reliable. Often recommended for kids and teens. You can also add colored bands if you like.

Ceramic Braces
Ceramic Braces

These work like metal braces but are tooth-colored. They blend in better and are less visible. Good for people who want something less noticeable.

Clear Aligners
Clear Aligners

These are removable, transparent trays that straighten your teeth slowly. You wear them for 20–22 hours a day. Best for adults and older teens who want a cleaner look.

We Treat Kids, Teens, and Adults

Benefits of Orthodontic Treatment

  • Straighter teeth
  • Better bite and jaw alignment
  • Easier cleaning
  • Fewer cavities or gum issues later
  • Improved confidence

Who Should Consider It?

  • Kids with crooked or crowded teeth
  • Teens with bite problems
  • Adults who want a better smile
  • Anyone with long-term chewing issues

Before & After Transformations

Smile Gallery

Reliable, Modern Dentistry

FAQs

When should my child see an orthodontist?

Around age 7 is a good time. But it depends. We'll let you know if treatment is needed now or later.

Are braces painful?

They might feel tight at first. But that goes away. Most people get used to them quickly.

Can adults get braces too?

Yes. We treat adults all the time. It's never too late to fix your teeth.

How long does treatment take?

Usually 12 to 24 months. But every case is different.

Is Smilex the right place?

If you're looking for the best orthodontist in Pune and a team that keeps things honest and straightforward, yes.

At what age should orthodontic treatment start?

We would like to see your child for first orthodontic consultation as early as age 7-8 years.Many orthodontic problems are much easier to correct if detected at an early age, before jaw growth has slowed. Often, Interceptive orthodontic treatment can be done to reduce the need for major orthodontic treatment at a later age. Interceptive orthodontic treatment corrects problems such as severely crooked and crowded teeth, underbites and overbites, incorrect jaw position, and disorders of the TMJ (jaw joint).

Do the appliances/braces hurt?

Teeth may feel sore & eating may be difficult for a day or two.These problems gradually ease away as you get accustomed to the appliance/braces.

How long should i undergo treatment?

It depends on the severity of the problem. However most of the cases can be treated in about 18 to 24 months.It varies from patient to patient.

What is the frequency of my visit to the dental clinic?

Usually it will be once in four or five weeks.

Are there any diet restrictions?

There are no diet restrictions. All you have to do is to avoid hard food,sticky food, chewing gum and candies during the entire treatment period.

By undergoing this treatment, will i develop cavities in my teeth?

You will not develop any new cavities if you follow your orthodontist’s advice for special brushing instruction and use the fluoride mouth rinse regularly.

Will it be difficult to brush the teeth?

At first it will be difficult and will take longer time to brush your teeth.Once you learn,you will find it easy to clean your teeth even with the appliance.

How long will have to wear retainer?

Retainers should be worn usually for a period of one year.The type and duration of retention depends upon the severity of the case.

What are other materials used for fabricating the brackets?

Brackets are also fabricated using ceramics,nickel free stainless steel,gold plated metals,etc.

Am i too old for the orthodontic treatment?

No. If the gums are healthy then Orthodontic treatment can be done upto 60-70 years.

Will i need to have any teeth extracted?

After observation of all the x-rays(Lateral cephalogram,OPG) and study models,it will be decided whether extraction is needed or not. If your teeth are severely crowded (because your mouth is too small to properly accommodate all of them) or if you have impacted teeth (teeth that are trapped beneath the gum line by other teeth) then extraction may be necessary. In the case of younger patients, early treatment may make extraction unnecessary.

icon
icon