Dental Implants In Pune

Dental implants are the gold standard in modern tooth replacement. Whether you've lost a tooth due to decay, trauma, or age, implants provide a permanent, natural-looking solution that restores both function and confidence. Smilex offers the best dental implants in Pune, combining precision, safety, and aesthetics.

Dental Implants at Smilex

Looking for the best dentist in Pune for dental implants? At Smilex Advanced Dental Care, our experienced team, led by the best implantologist in Pune, uses cutting-edge technology and internationally acclaimed implant systems to ensure optimal results.

We begin with a 3D CBCT scan for precise diagnosis, followed by guided implant surgery to place the titanium post. After healing, a beautifully crafted crown is placed, blending seamlessly with your natural teeth.

Whether you're replacing one tooth or many, we customize every treatment plan to suit your individual needs.

Dental Implants
4.9 ⭐ Ratings | 505+ Google Reviews
Book an Appointment

Dr. Vijay Deshmukh at International Front

Dr. Vijay Deshmukh
Know Your Implantologist

Dr. Vijay Deshmukh is Practicing Implantology Since Last 3 Decades

  • Leading Dental Implantologist of India
  • Practicing since 1992 (30 years of practice)
  • Gold medalist
  • Presented scientific papers on Implant at National & International Conferences.
  • Chairman of International Clinical Dental Research Organization
  • Director, ICDRO Dental Implant Institute
  • Winner of
    1. Ciba-giegy Award in 1989.
    2. Dr. Guglani Award in 1991.
    3. Dr. Barucha Award in 1993.
    4. Dr. Barucha Award in 1994.
    5. Dr. Ratan Memorial Award in 1995.
    6. Times health IKON 2017.
  • Ex Professor & HOD Dr. D. Y. Patil Dental College, Pimpri
  • President, International Dental Association (India)

Features

Features

15000+ Implant Procedures

Features

3 Decades of Experience

Features

Treated Patients From More Than 25 Countries

Features

99% Success Rate

Features

In House Cone Beam CT

Features

Affordable to Everyone (EMI Options Available)

CBCT Guided Surgery

Advanced Dental Implant Technology

Dr. Vijay Deshmukh

Dental Implants

Missing teeth, dentures, or removal of a good tooth structure for bridges can make you feel extremely uncomfortable & self-conscious. This is when Dental Implants come to your rescue.

Dental implants are replacement teeth with roots designed to replace a missing tooth. Dental implants seamlessly blend with the rest of your teeth to give your smile an improved appearance. They work best for people who have lost one or more teeth due to an oral disease, injury or various other reasons. They are the best long-term option for restoring your smile. In fact, the development and use of implants are one of the biggest advances in dentistry in the past 40 years.

Smilex International Dental Centre is one of the best dental clinics in Pune and offers one of the best dental implants in Pune. If you are someone who is left bothered because of your missing teeth and uncomfortability of dentures, visiting the Smilex Dental Clinic, a leading implant center in Pune, is just the right option for you!

At Smilex, Dental Implants are done by one of the Best implantologist in Pune & leading implantologist of India- Dr.Vijay Deshmukh, making Smilex one of the very few dental clinics with the best dental implants in Pune. Carrying out implants since 1993, Dr.Deshmukh is an expert & pioneer in many dental implant techniques. He has also been a guest lecturer in many national & international conferences.

At Smilex, Dental Implants are done by one of the best implantologists of Pune & leading implantologist of India- Dr.Vijay Deshmukh, making Smilex one of the very few dental clinics with the best dental implants in Pune. Carrying out implants since 1993, Dr.Deshmukh is an expert & pioneer in many dental implant techniques. He has also been a guest lecturer in many national & international conferences.

How Does it Make us Healthy?

You are designed by nature to live efficiently for 100 years, and so are your teeth. But, the lack of proper dental care can cause various dental problems. One of the most common dental problems is the loss of teeth, which can be easily replaced by dental implants. Dental implants can improve your mastication and your ability to eat good quality food items like walnuts, almonds, nuts, fibres and fruits. As your age advances, your body needs more micronutrient to remain youthful. Eating ideal food is a must. If you compromise nutrition due to not having enough teeth, you are compromising your health. You ideally need 32 teeth or at least 28 teeth. So having a fixed dental implant makes you healthy and adds happiness in your life. Don’t compromise on your health and get implants done by an experienced implantologist.

What is The Procedure of Dental Implant Placement?

After a thorough clinical examination of your jaw bone, the Best dentist in Pune at Smilex confirms the available jaw bone by CBCT scan or X-rays. The doctors then administer a very small cut in the gums under local anesthesia. A painless drill sequence leads to the final drill position, after which the dental implants in Pune are placed in the bone. Gums are then placed back in their original position. A single implant procedure takes up to 45 mins to be done.

Missing Teeth

Who Can Get a Dental Implant to Replace Missing Teeth?

The chances of you being eligible for a dental implant totally depends on the condition of your jaw bone. Smilex carries out a number of special tests to find out the amount of bone present in your jaw. In cases where the patient’s tests reveal an unhealthy bone or inadequate amount of bone, placing implants without grafting bone into that area first becomes impossible. We at Smilex, have a team of Best implantologist in Pune who make sure thorough tests are done to check your eligibility and make an effort to give you the best dental implants in Pune.

Long-lasting

Are Implants Safe and Long-lasting?

An implant procedure is a safe, well-established, tried-and-tested treatment. It’s safe to say that implants last longer if you care for them, much like your natural teeth. Maintaining oral hygiene, looking after your implants, and going for regular visits to your dentists will majorly impact the life of your implants.

Implants

Do Implants Hurt?

The chances of you being eligible for a dental implant totally depends on the condition of your jaw bone. Smilex carries out a number of special tests to find out the amount of bone present in your jaw. In cases where the patient’s tests reveal an unhealthy bone or inadequate amount of bone, placing implants without grafting bone into that area first becomes impossible. We at Smilex, have a team of Best implantologist in Pune who make sure thorough tests are done to check your eligibility and make an effort to give you the best dental implants in Pune.

Treatment

How Long Does The Treatment Take?

Usually, the permanent crowns are fitted 3 to 4 months after the implants are put in. However, in some cases (immediate implants) teeth can also be fixed at the same as the implants.

Watch What Our Happy Patients Say — Testimonials
Dental Implants

What Happens Next?

After your implants have been placed, the bone in your jaw needs to grow onto them and integrate with them. This usually takes 2-4 months. In situations where the implant is stable enough, a false tooth is immediately attached to the implant. A temporary denture is given in situations where the patient has gone through an implant procedure for more than one tooth. If you have full dentures, you can keep wearing these while your implants are healing.

Dental Implants

Are The Implant Teeth Difficult To Clean?

Implant teeth are not difficult to clean. But properly maintaining your implants is important for a long-lasting & successful implant. Cleaning the area around to your implants is similar and as easy as cleaning your natural teeth. You will also receive proper instructions on how to clean areas which are difficult to reach by your dentist.

Dental Implants
Dental Implants

Do I Need To Have Separate Implants For Each Missing Tooth?

A single dental implant is the best option for you if you are missing just one tooth. You can also go for one implant for each tooth in case you have more than one missing tooth placed next to each other. You may also find that two or more implants may be able to support more than one tooth each.

Dental Implants

Implant Surgery Follow-up and Aftercare

For a comfortable and safe recovery after your dental implant surgery, your diet needs to be restricted to soft foods. If stitches are present, they may need to be removed after around 7-8 days. If provisional restorations are placed along with your dental implant, it will be important to clean them as you would do for your natural teeth to ensure the best possible healing and fusing of the implant. One of the most common causes of infection after getting a dental implant procedure done is the failure to floss and brush. This in turn causes implant failure. One other reason for high failure rates of dental implant procedures is smoking and should be avoided following an implant surgery.

Dental Implants

Latest from Our Dental Blog

Immediate Dental Implants

Immediate Dental Implants

Learn about immediate dental implants, how they work, their benefits, and whether you are the right candidate.

Read More
Full Mouth Replacement Implants

How Many Implants Are Needed for Full Mouth Replacement?

Understand how many dental implants are required and what factors influence the treatment plan.

Read More

Types of Dental Implants

Single Tooth Implant
Single Tooth Implant

Replace a missing tooth with a strong and natural-looking implant-supported crown.

Multiple Teeth Implants
Multiple Teeth Implants

Close gaps caused by multiple missing teeth with implant-supported bridges.

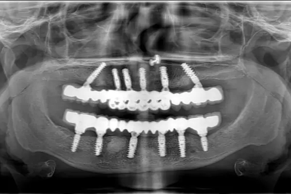
Full Mouth Implants
Full Mouth Implants

Get a full arch restored using 4–6 implants for permanent teeth replacement.

Get the Best Dental Implants
in Pune from the Experts

Benefits of Dental Implants

  • A permanent and durable solution
  • Restores natural appearance and speech
  • No impact on surrounding healthy teeth
  • Prevents bone loss and facial sagging

Who Can Get Dental Implants?

  • Individuals missing one or more teeth
  • Patients with healthy gums and bone
  • Non-smokers or those willing to quit
  • People looking for a permanent, hassle-free solution
Fullmouth

When it comes to improving the condition of your teeth, knowing where to start can be confusing. At Smilex Dental Implant & Aligner Centers, though, we look to remove any uncertainty or confusion around the kind of dental care that you need. To do that, we provide a comprehensive service for full mouth rehabilitation in Pune. Full mouth rehabilitation is a highly individualized treatment.

The point of a full mouth reconstruction plan is to optimize the health of the entire mouth, including the teeth, the gums, and the bite. In many cases, it is necessary to replace or restore every tooth in the mouth using a combination of dental services. Our full mouth rehabilitation service in Pune offers the easiest way to get everything done at once.

The Full Mouth Rehabilitation Process

If you think you need reconstruction, see us for a comprehensive examination. We will examine your mouth to determine the extent of the problem and the treatment options that can be used to correct it. The examination process requires records of your mouth such as xrays ,digital opg ,3D CBCT scan ,intra-oral digital scan. We may also have consultations with specialists (periodontist, orthodontist, oral surgeon) in order to develop a treatment plan that is best for you.

Once we have obtained all information relevant to your case, we will develop a comprehensive, step-by-step treatment plan to correct all of the problems in your mouth and complete your reconstruction. Most reconstructions involve multiple phases and office visits. The expected treatment time is approximately 3-4 months ,depending on your situation.

The result will always be stronger, smarter and more significant teeth. You will feel like your teeth are brand new. The process can be a long-term solution, though, so we will be upfront with you about cost, time and the demands involved. If you would like more information about undergoing a technologically advanced full mouth rehabilitation process, you can contact us today. From re-aligning your teeth and jaw to restoring each and every tooth, a solution can always be found here.

Fullmouth
📞 Call Now

Single Tooth Implant

Single tooth implant are a simple and long-lasting way to replace one missing tooth. The implant is placed in the jawbone and acts like a root. A crown is attached on top to match the rest of your teeth. It looks real, feels strong, and helps you chew normally. Over time, it also helps prevent bone loss in that area. Unlike a dental bridge, it doesn’t rely on or damage the tooth next to it.

Single Tooth Implant at Smilex Dental Implant & Aligner Centers

At Smilex Dental Implant & Aligner Centers, we start by checking your bone and gum health with a 3D scan. Then we plan the implant placement digitally to keep it precise and safe. If the bone is thin, we’ll talk to you about grafting options before starting.

Every case is handled step by step, with clear instructions and no pressure. We take time to make sure you're comfortable and know what to expect. We use trusted implant systems and custom-made crowns that match your natural teeth.

The process doesn’t involve cutting healthy tooth, which is often needed with a bridge. Healing is usually smooth with good care. We also schedule follow-ups to make sure everything is on track. The goal is to keep things simple, honest, and long-lasting.

Single Tooth Implant

Types of Single Tooth Implant

Standard Implant
Standard Implant

Used when there’s enough bone in the area. A single titanium implant is placed in the jaw, followed by a custom crown once it heals. The tooth functions and looks natural.

Immediate Implant
Immediate Implant

It is placed right after tooth extraction. It helps shorten the overall treatment time, reduce the number of surgeries, and preserve bone better.

Implant with Bone Graft
Implant with Bone Graft

It is needed when a bone is missing or too soft. A bone graft is placed first to build support. After healing, the implant is added. This ensures long-term success.

Reliable, Modern Dentistry

FAQs

Are dental implants painful?

No, the procedure is done under local anaesthesia and is minimally invasive.

How long do dental implants last?

With good oral hygiene, they can last 15–25 years or even a lifetime.

How soon can I eat after implant surgery?

A soft diet is advised for the initial healing period, usually 24–48 hours.

Is the procedure safe?

Yes. With digital planning and expert care, implants are one of the safest dental procedures.

What makes Smilex the best choice for dental implants in Pune?

Our advanced diagnostics, global-quality implants, and the expertise of the best dentist in Pune for dental implants make us a trusted name.

Are you dental implants noticeble?

No one, not even you, will be able to tell you have a dental implant. Implants are made to feel completely natural in the mouth. The dentist matches the color and shape of your other teeth to the implant.

What is most suitable place for dental implants in Pune?

<p>The most suitable place for dental implants in Pune is Smilex International Dental Clinic. Dr. Vijay Deshmukh is an Implantologist and has an experience of 27 years in these fields. Dr. Vijay Deshmukh practices Smilex Dental Speciality Centre .He completed BDS from Government Dental College & Hospital, Nagpur in 1989 and MDS – Periodontology and Oral Implantology from Government Dental College & Hospital, Nagpur in 1992. Dr. Vijay Deshmukh is a pioneering implantologist of India, who has trained thousands of implantologist in India & abroad.</p><p><strong>He is a member of</strong></p><ul> <li>Indian Dental Association, Mumbai,</li> <li>Life Member Of Indian Society Of Periodontology and<br> Life Member Of Indian Society Of Oral Implantologist.</li> </ul>

What do you care for dental implants?

<p>1. Use a Soft Nylon Brush After getting dental implants, there’s a chance that you may need to switch toothbrushes. This is because nylon toothbrushes come with bristles that are pliable and gentle on your dental implants. You can also use a Proxabrush to clean the hard-to-reach areas around your dental implants. Make sure you avoid toothbrushes that contain hard bristles, as these can scratch the surface of your implants. In fact, you should avoid using any sort of metal instrument to clean your mouth once your implants are in place. Instead, just stick to regular brushing and flossing twice a day.</p><p>2. Avoid Abrasive Products Whether it’s toothpaste or mouthwash, you’ll want to stick to buying sensitive cleaning products as much as possible once you get your dental implants. This is because products that are too abrasive can cause extreme discomfort. In general, you’ll also want to avoid oral hygiene products with intense flavors, like mint or cinnamon, as these can cause an uncomfortable feeling in your mouth.</p><p>3. Floss Daily Did you know that only 16% of American adults floss every day? That means that 84% of people aren’t flossing enough! If you’re a part this statistic, then it’s time to change things now that you have dental implants. With dental implants, flossing becomes more important than ever. This is because plaque can easily accumulate around your implants, which can lead to other oral hygiene issues. The great thing is, there are many types of flosses out there designed specifically for those with dental implants, so you really have no excuse not to brush your teeth.</p><p>4. Immediate Aftercare Tips Of course, you’re also probably wondering how you should take care of your dental implants immediately following the procedure. After you get dental implants, you’re likely going to experience some pain in swelling over the next 24 hours. This is normal, and therefore shouldn’t alarm you. Here are some things to do after your procedure: To control bleeding, bite on the sponges that were placed in your mouth For the first 8 to 12 hours post-surgery, avoid moving around excessively and keep your head elevated Hold an ice pack to your face in 15-minute intervals as needed For the first 24 hours, only consume soft foods and beverages Take prescribed medications as directed by your doctor For the first 24 hours, avoid rinsing your mouth</p>

What are the benefits of dental implants?

<p><strong>There are many advantages to dental implants, including:</strong></p><ul> <li>Improved appearance.</li> <li>Dental implants look and feel like your own teeth.</li> <li>Improved speech.</li> <li>Improved comfort.</li> <li>Easier eating.</li> <li>Improved self-esteem.</li> <li>Improved oral health.</li> <li>Durability</li> <li>Convenience.</li> </ul>

Can I get a full set of dental implants in Pune?

Yes, if you are missing all your teeth, a full implant-supported bridge or denture can effectively replace them. Dental implants not only restore your lost teeth but also some of the root structure. The Full Mouth Dental Implants Cost In Pune is competitive, making it an affordable option for many seeking a permanent and reliable solution.

icon
icon