Same Day Dental Implants In Pune

Gone are the days of waiting months for dental implants. With Same Day Dental Implants, you walk out with a brand-new smile on the very same day. This revolutionary advancement allows you to replace missing or damaged teeth quickly, efficiently, and with minimal downtime.

Same Day Dental Implants Treatment at Smilex

Smilex Advanced Dental Care proudly offers world-class Same Day Dental Implants Treatment in India, enabling you to regain full dental function in just one visit. Whether you've lost a single tooth or multiple, our expert implantologists use advanced digital scans, CBCT imaging, and CAD/CAM-supported restorations to provide precise, long-lasting results.

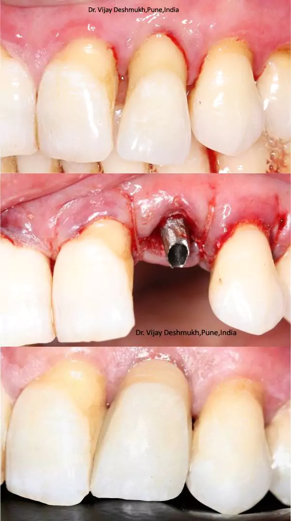
We ensure a streamlined process that includes tooth extraction (if needed), implant placement, and temporary crown restoration—all completed within hours. This treatment is ideal for patients seeking fast results without compromising on quality.

Same Day Dental Implants
⭐ Read Reviews
Book an Appointment

Lost A Tooth?

Don’t worry, we can fix a new tooth in 1 hour.

World’s Top Active implant and digitally fabricated new Tooth.

At Smilex International Dental Centre, we understand the importance of a confident smile. That’s why we offer Same Day Implantology, a cutting-edge solution with an affordable Same Day Dental Implants Cost, allowing you to walk out with a new smile on the same day.

What is Same Day Implantology?

Same Day Implantology is an advanced dental procedure that allows for the replacement of missing teeth with dental implants in just a single appointment. Unlike traditional methods that involve multiple visits and a lengthy healing period, Same Day Dental Implants In India offer a more efficient and convenient solution, providing immediate results. This process involves precise digital planning to ensure the correct placement of implants, improving both the speed and success rate of the procedure. Additionally, if you’re considering a complete smile transformation, understanding the Full Mouth Dental Implant Cost In India will help you make an informed decision about this quick and effective treatment option. With modern technology and expert care, you can restore your smile in no time while maintaining long-term oral health.

Benefits of Same Day Implants

Immediate Results

Walk out with aesthetically pleasing new teeth in one day.

Convenience

Save time with fewer appointments and less overall treatment time.

Quick Recovery

Minimally invasive techniques promote faster healing.

Enhanced Comfort

Modern technology ensures a precise fit and natural feel.

Improved Confidence

Restore your smile and boost your self-esteem instantly.

Our Process

Initial Consultation

Initial Consultation

Comprehensive dental examination and digital imaging.Personalized treatment plan tailored to your needs.

Same Day Procedure

Same Day Procedure

Teeth extraction (if necessary) and implant placement.Temporary crowns or bridges attached for immediate function and aesthetics.

Follow-Up Care

Follow-Up Care

Regular check-ups to ensure optimal healing and implant integration.Placement of permanent crowns once healing is complete.

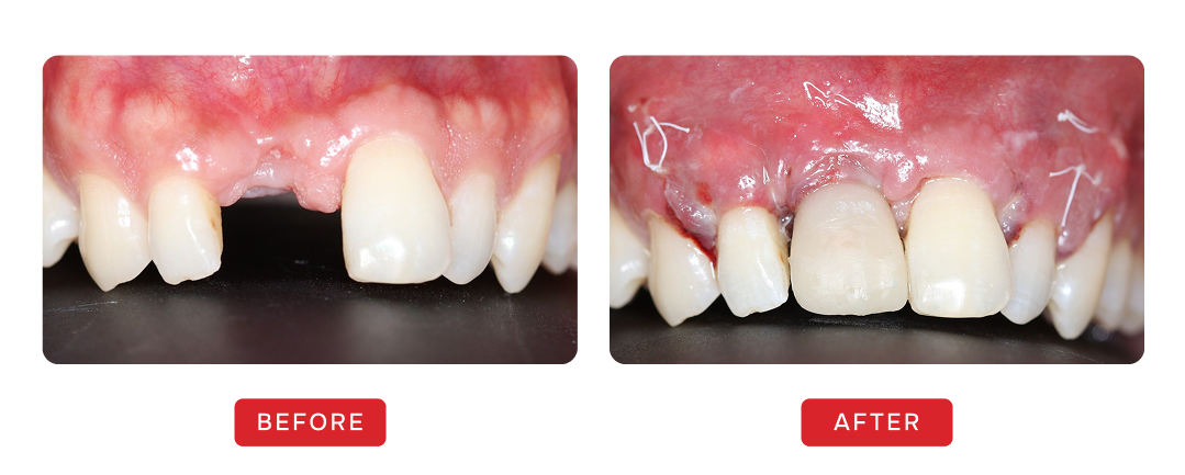
Before & After Transformations

Smile Gallery

Smile Journey Highlights

Extra Image 1
Extra Image 3

Why Choose Smilex?

Same Day Procedure

Expertise

Our team of experienced implantologists and dental specialists are leaders in the field for 25 years.

Advanced Technology

Advanced Technology

We utilize state-of-the-art equipment and techniques to ensure precision and comfort.

Patient-Centered Care

Patient-Centered Care

Your comfort and satisfaction are our top priorities. We offer personalized care tailored to your individual needs.

Comprehensive Support

Comprehensive Support

From your initial consultation to post-procedure care, we are with you every step of the way.

Real Patient Testimonials

Hear directly from our happy patients about their life-changing dental implant experience at Smilex.

Smile Confidently with Same Day
Dental Implants Treatment in India

Benefits of Same Day Dental Implants

  • Immediate restoration of smile and function
  • No need for temporary dentures
  • Preserves jawbone and facial structure
  • Saves time with fewer visits
  • High precision with digital planning
  • Safe and predictable outcomes

Who is a Suitable Candidate?

  • Healthy gums and sufficient bone support
  • No active infection or uncontrolled chronic conditions
  • Good oral hygiene habits
  • Looking for a quick tooth replacement solution

Reliable, Modern Dentistry

FAQs

Are the Same Day Dental Implants Safe?

Absolutely. Modern surgical techniques and advanced technology back them.

Will I get permanent teeth on the same day?

A temporary restoration will be performed on the same day. After healing, the final crown will be fixed.

Is this treatment painful?

Local anaesthesia and sedation make the procedure virtually painless.

How long does the implant last?

Same Day Dental Implants can last for decades with good care.

Is the Same Day Dental Implants Treatment in India affordable?

Yes. Smilex offers highly competitive pricing with top-notch implant systems.

icon
icon