Gap Between Teeth (Diastema) Treatment Options for a Perfect Smile
A gap between teeth, medically known as diastema, is a common dental concern affecting both children and adults. While some people embrace it as a unique feature, others seek treatment for aesthetic or functional reasons. Thanks to modern dentistry, there are multiple safe and effective ways to close gaps and achieve a confident smile. If you’re searching for the best aligners for teeth or advanced orthodontic solutions, Smilex Dental Implants and Aligners Centers offers cutting-edge treatments to help you correct teeth spacing comfortably and efficiently.
What Causes Gaps Between Teeth?
It’s critical to comprehend the underlying problem before selecting a remedy. Common reasons include:
- Genetics: Natural spacing due to jaw size and tooth size mismatch
- Missing or undersized teeth
- Tongue thrusting or thumb sucking behaviors (in children)
- Gum disease (periodontitis) causing teeth to shift
- High labial frenum attachment (tissue between upper front teeth)
Identifying the cause helps in selecting the most effective treatment.
Why Should You Fix Teeth Gaps?
While small gaps may not always require treatment, larger spaces can lead to:
- Food getting stuck between teeth
- Increased risk of gum disease
- Speech issues in some cases
- Reduced confidence and smile aesthetics
Best Treatment Options for Gap Between Teeth
1. Clear Aligners (Invisible Braces)
Clear aligners are one of the most popular and modern solutions for closing gaps.
Benefits:
- Nearly invisible and removable
- Comfortable with no metal wires
- Gradually shifts teeth into proper position
- Easy to maintain oral hygiene
Clear aligners are ideal for mild to moderate spacing issues and are widely recommended at Smilex Dental Implants and Aligners Centers.
2. Traditional Braces
Braces are a tried-and-tested method for treating various orthodontic issues, including gaps.
Types of Braces:
- Metal braces
- Ceramic braces
- Self-ligating metal/ceramic braces
Benefits:
- Highly effective for complex cases
- Suitable for all age groups
Though slightly more visible, braces provide precise control over tooth movement.
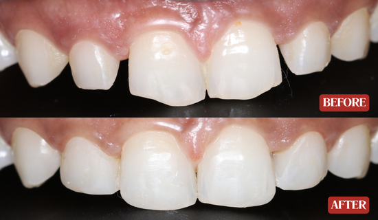
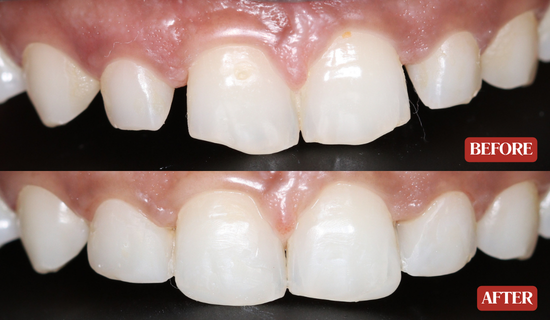
3. Composite Buildup
Dental bonding is a quick and cost-effective cosmetic solution.
Procedure:
- Tooth-colored resin is applied to fill the gap
- Shaped and polished for a natural look
Benefits:
- Completed in a single visit
- Affordable
- No major tooth preparation
Best suited for small gaps and minor cosmetic corrections.

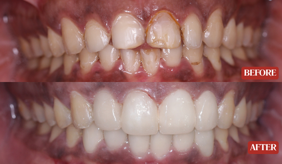
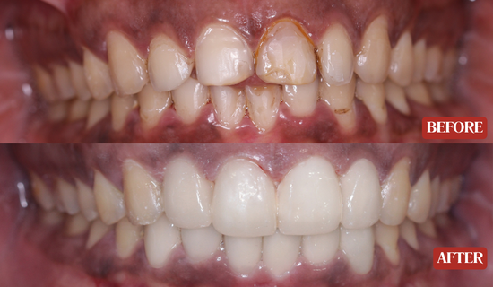
4. Dental Veneers
Veneers are thin shells placed over the front surface of teeth to improve appearance.
Benefits:
- Instantly closes gaps
- Enhances shape, size, and color
- Long-lasting and stain-resistant
Veneers are ideal for people looking for a complete smile makeover along with gap correction.
Disclaimer – Teeth are grinded to ensure a proper fit and long-lasting results for the veneers.
5. Dental Crowns
Crowns are used when teeth are damaged or require structural support.
Benefits:
- Covers the entire tooth
- Improves strength and appearance
- Helps in closing gaps effectively
Disclaimer – Teeth are grinded to ensure a proper fit and long-lasting results for the crowns.

6. Frenectomy (For Specific Cases)
If the gap is caused by an oversized labial frenum, a minor surgical procedure called frenectomy is performed.
Benefits:
- Prevents gap recurrence
- Often combined with orthodontic treatment
7. Dental Implants (For Missing Teeth)
If the gap exists due to a missing tooth, dental implants are the best permanent solution.
Benefits:
- Looks and functions like natural teeth
- Prevents bone loss
- Long-lasting and durable
Which Treatment Is Best for You?
The right treatment depends on:
- Size of the gap
- Cause of spacing
- Age and oral health condition
- Budget and aesthetic preference
At Smilex Dental Implants and Aligners Centers, a personalized consultation helps determine the most suitable option for your needs.
How Long Does It Take to Close Teeth Gaps?
- Clear Aligners: 3–12 months
- Braces: 6–18 months
- Bonding/Veneers: 1–2 visits
Treatment time varies based on the complexity of the case.
Cost of Gap Closure Treatment in India
The cost depends on the chosen procedure:
- Composite Buildup: ₹3,000 – ₹10,000 per tooth
- Veneers: ₹8,000 – ₹25,000 per tooth
- Clear Aligners: ₹60,000 – ₹2,50,000
- Braces: ₹30,000 – ₹1,50,000
- Implants: ₹25,000 – ₹50,000 per tooth
For exact pricing, it’s best to consult the clinic directly.
Tips to Prevent Gaps from Reappearing
- Wear retainers after orthodontic treatment
- Maintain good oral hygiene
- Avoid harmful habits like tongue thrusting
- Schedule regular dental check-ups
What is the best treatment for gap between teeth?
The best treatment for gap between teeth (diastema) depends on the cause and size of the gap. Common options include clear aligners, braces, dental bonding, veneers, and dental implants. Clear aligners are ideal for mild to moderate gaps, while braces are suitable for complex cases. Cosmetic treatments like bonding and veneers provide instant results.
Why Choose Smilex Dental Implants and Aligners Centers?
- Experienced dental specialists
- Advanced technology and digital smile design
- Customized treatment plans
- Comfortable and patient-friendly care
📞 Book your consultation today: +91 97654 07660
Frequently Asked Questions (FAQs)
1. Can gaps between teeth close naturally?
Small gaps in children may close as permanent teeth erupt, but adult gaps usually require treatment.
2. Are clear aligners effective for gap closure?
Yes, clear aligners are highly effective for mild to moderate spacing issues and are a popular choice.
3. Is gap closure treatment painful?
Most treatments are minimally painful. You may feel slight pressure during orthodontic treatment, which is normal.
4. How do I know which treatment is right for me?
A dental consultation is essential to assess your condition and recommend the best solution.
5. Can gaps come back after treatment?
Yes, if retainers are not used or oral habits persist. Proper post-treatment care is important.
6. Can gaps between teeth close naturally?
Small gaps in children may close as permanent teeth erupt naturally. However, when it comes to gaps between teeth in Pune adults, professional dental treatment is usually required for effective and long-lasting results.
7. Are clear aligners effective for gap closure in Pune?
Yes, clear aligners for gaps between teeth in Pune are highly effective, especially for mild to moderate spacing issues. Many patients prefer aligners because they are nearly invisible, comfortable, and convenient compared to traditional braces.
8. Is gap closure treatment painful?
Most gap closure treatments in Pune dental clinics are minimally painful. You may feel slight pressure during procedures like braces or aligners, which is completely normal and temporary.
9. How do I know which treatment is right for my teeth gap?
To choose the best option for teeth gap treatment in Pune, a professional dental consultation is essential. Your dentist will evaluate your teeth, jaw alignment, and spacing before recommending treatments like aligners, braces, bonding, or veneers.
10. Can gaps come back after treatment?
Yes, teeth gap reopening after treatment in Pune can happen if retainers are not used properly or due to habits like tongue thrusting. Following post-treatment care and wearing retainers as advised is crucial.
Conclusion
A gap between teeth is not just a cosmetic concern—it can also impact your oral health and confidence. Fortunately, with advanced treatments like clear aligners, veneers, and bonding, achieving a flawless smile is easier than ever.If you’re looking for expert care and long-lasting results, Smilex Dental Implants and Aligners Centers offers the latest solutions tailored to your needs.
Call Now: +91 97654 07660
Address: 3rd Floor, Rahul Capital, Prabhat Rd, Erandwane, Pune, Maharashtra 411004


